
Прямий ефір з питань грудного вигодовування «Мало молока. Пропало молоко. Лактаційні кризи»

Ретельно готуємося до прийому кожної пацієнтки

Команда Yuzko Medical Center завжди на позитиві

Відповіді на запитання з професором Юзько О.М.

Про переваги ведення вагітності в Yuzko Medical Center

Що таке вірус? Де живе? Яка дія його на організм?

Коли прийшла новенька асистентка

Прямий ефір на тему «Хронічний ендометрит»

Прямий ефір «Все про Школу майбутніх батьків»

Прямий ефір на тему «Скарлатина»

Прямий ефір на тему «Дитяча ортопедія»

Трохи гумору під час робочих буднів

Ефір про цукровий діабет

Про циклічність гормонів нашого організму

Декрет? Насолода чи проблеми?

Колектив Yuzko Medical Center Prospect танцює разом із Венздей

Yuzko Medical Center на хвилі Венздей

Настрій вже Новорічний

Як підготуватися до УЗД внутрішніх органів?

Відповіді на анонімні запитання

Чи може УЗ-датчик вдарити струмом?

Коли лікар попросив не їсти і не пити за 8 годин до прийому

Пайдем

Гастростаз, вода потрапляє в шлунок

Перша невідкладна допомога

Місто здоров'я

Ведення вагітності в Yuzko Medical Center

Інтерв‘ю нашого лікаря Анатолія Андрійця

Чому пацієнти довіряють своє здоров'я саме нам?

Відчуйте радість батьківства

Рецепти здоров'я, безпліддя

Ваші мрії сьогодні - це реальність завтра!

Міжнародний симпозіум «Теорія та практика репродукції людини»

Науково-практична конференція «Інноваційна лапароскопічна гінекологія»

Вітаємо з Днем Незалежності України!

Гістерорезектоскопічне роз’єднання внутрішньоматкової перетинки та видалення поліпа з використанням активної електрохірургічної петлі

Перевірка прохідності маткових труб та прицільна коагуляція ендометріоїдних гетеротопій

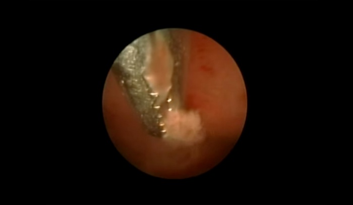
Гістероскопія. Видалення поліпа тіла матки

Лікар-уролог Владиченко К.А. про чоловіче репродуктивне здоров'я

4D сучасна ультразвукова діагностика

Х Міжнародний симпозіум УАРМ, 28-30.05.2015, Одеса

Унікальний випадок! Черевна вагітність

Президент Української асоціації репродуктивної медицини Олександр Юзько про ситуацію в сфері допоміжних репродуктивних технологій в Україні в інтерв'ю порталу ПУПОВИНА

Актуальність жіночого і чоловічого безпліддя в Україні

Передноворічний репортаж у «Чернівецькому репортері»

День Матері - МЦ Лікування Безпліддя

До 20 річчя народження першої дитини з пробірки